"Flakes of skin
fall off like snow
every morning
because of psoriasis..."
"I've tried
all kinds of treatments
for over 10 years,
but it doesn't work."
This patient asked,
“I’ve been on various treatments
for psoriasis for 10 years,
but why isn’t it working?”
It's heartbreaking
to hear the question
from a patient
living in daily despair.
One day, I got a call from Japan.
"I was treated at a
famous university hospital in Japan,
but psoriasis kept getting worse.
They said there was
no more treatment
with modern medicine,
so I called Director Park."
Not only the
psoriasis patient above,
but also the
Japanese psoriasis patient
had very severe
psoriasis symptoms,
but was not treated.
Even with treatment
at a renowned university hospital,
the child’s condition
only grew more severe,
and eventually, he was told
his condition was incurable.
The patient’s mother asked me,
“Doctor, can it be treated?”
I answered,
“Your son has
very severe psoriasis,
but we will do
everything we can.”
What happened to this
Japanese patient after that?
Was he cured?
"Doctor, can my psoriasis
really be cured?"
This is the most common question
from our psoriasis patients.
It would be more helpful
for patients to watch interviews
with other psoriasis patients
than for me to answer
this question directly.
I would like to
take this opportunity
to express my sincere
gratitude to these patients,
who participated in the filming
hoping to help others with psoriasis.
HM Korean Medicine Clinic
is trusted by a diverse
range of patients from both
Korea and around the world.
So what is the reason
people come to HM Clinic,
even from distant and
unfamiliar countries?
"Psoriasis takes a
greater toll
on the heart and mind
than it does on the skin."
HM Medical Clinic is committed
to creating a world
without psoriasis.
Then, let's take a look
at the treatment progress
of the Japanese patient above.
This photo was taken after
one year of treatment with HM-V.
You can see that the severe
keratinization and erythema
that had spread across your body
have subsided, and your skin
has returned to a healthy,
normal condition.
To prevent recurrence,
the patient continued with
additional treatment
for about a year.
Recently, I received a message
of gratitude from the
patient’s mother, saying
that the patient
has been doing well
and staying healthy.
*Important information
every psoriasis patient should know.
When patients with psoriasis
visit us for the first time,
this is the question
I always ask first:
"In order to be healthy,
does our blood need
to be clean or dirty?"
Most patients respond,
“It should be clean.”
This time,
I rephrase the question slightly
and ask it like this:
"In order to treat psoriasis,
do you think the blood
needs to be clean or dirty?"
Again this time,
most patients respond,
“It should be clean.”
Most psoriasis patients
may not be doctors,
but they instinctively know
that clean blood
is essential for good health.
Now, let’s take a closer look
at the relationship between
blood and psoriasis.
Comparison of Blood
Between Psoriasis
Patients and
Healthy Individuals
How was the video?
In the patient’s blood,
the red blood cells appear spiky,
the plasma is cloudy,
and numerous foreign particles
can be seen floating.
Let’s take a look at blood samples
from other psoriasis patients.
[ Psoriasis Case 1 ]
Female, 20s | History: 8 years | Severe psoriasis
In the video,
you can see that
the red blood cells
are deformed into spiky shapes,
and tiny microorganisms
are rapidly moving in the plasma.
The patient was shocked
to see their own blood
and exclaimed,
“I can’t believe
how dirty my blood is!”
What exactly is that tiny,
bug-like thing moving
so rapidly in the blood?
[ Psoriasis Case 2 ]
Male, 30s | History: 9 years | Severe psoriasis
Just like in the previous patient,
the red blood cells
are deformed into spiky shapes.
What’s particularly unusual is that
many worm-like structures are seen
clinging to the red blood cells.
What is this worm-like structure
attached to the red blood cell?
[ Psoriasis Case 3 ]
Male, 40s | History: 15 years | Severe psoriasis
Compared to the
previous two patients,
this patient's blood
appears even more contaminated.
The red blood cells are
significantly more deformed,
the plasma is cloudy,
and there are noticeably more tiny,
bacteria-like particles moving around.
Next, we’ll look at the
blood of a patient
who showed improvement
in their skin disease
after treatment at our hospital.
[ Blood Video After Skin Improvement ]
Unlike the psoriasis patients
described earlier,
this patient’s blood shows
round-shaped red blood cells
and clear plasma.
Why is the blood of
psoriasis patients
not as clean as
that of healthy individuals?
[ The Secret of Psoriasis 1 ]
[ The Secret of Psoriasis 2 ]
[ The Secret of Psoriasis 3 ]
[ The Secret of Psoriasis 4 ]
[ The Secret of Psoriasis 5 ]
Then, let’s take a look
at some of the more
unusual blood videos
from skin patients
who visited HM Clinic.
[ Patient’s Unusual Blood Video 1 ]
[ Patient’s Unusual Blood Video 2 ]
[ Patient’s Unusual Blood Video 3 ]
These videos help patients
clearly understand how
impure human blood can become.
"Does the blood need to be
clean or dirty
in order to heal psoriasis?"
What would be the correct
answer to this question?
The correct answer is:
"The blood needs to be clean."
So, let’s explore
why the blood of
psoriasis patients
tends to be more impure.
Quadruplex Toxins
In the intestines
of psoriasis patients,
an overgrowth of
putrefactive bacteria
breaks down food and
produces harmful substances
known as colon toxins.
When these colon toxins
erode the tight junctions
of the intestinal lining,
making it more permeable,
the toxins can
pass through these gaps
into the bloodstream and
reach the liver via the portal vein.

When a small amount of
toxins enters the liver,
it can detoxify them effectively.
However, if the toxin load
is too high,
the excess begins to
accumulate in the liver.
These toxins are called
liver toxins.
Since liver toxins impair
the liver’s detoxification function,
the toxins that enter the liver
through the portal vein
may not be fully detoxified
and can re-enter the bloodstream
in an unmetabolized state.
These toxins are called
blood toxins.
As they circulate
throughout the body,
they can accumulate in the skin
and become skin toxins.
Skin toxins trigger
immune reactions in the skin,
leading to red rashes
and the buildup of thick,
white scales—
characteristic symptoms
of psoriasis.
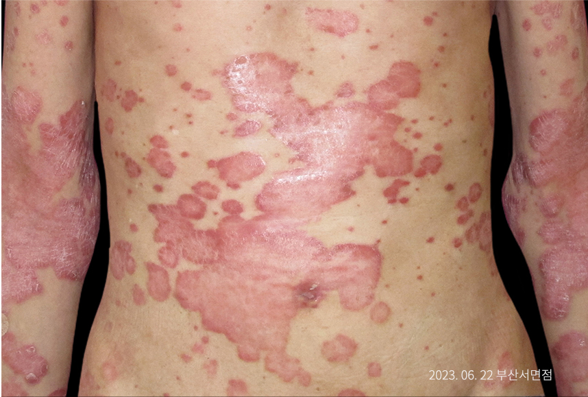
Psoriasis Cases in
Various Body Areas
Caused by
Auadruplex Toxins
Before and After Cases
Click the button below
to see more treatment cases
So, let’s take a closer look
at how blood is related to psoriasis.
Normal Skin
The large intestine of
a healthy individual
hosts a variety of
microorganisms—including
bacteria, viruses, fungi, and yeast—
that play important
physiological roles such as
aiding digestion,
regulating immunity, and
facilitating nutrient absorption.
Lactobacillus helps
ferment dietary fiber,
while Bacteroides and Prevotella
break down polysaccharides and
regulate the immune system.
Bifidobacterium contributes
to stabilizing
the intestinal environment,
promoting the growth of
beneficial bacteria,
and enhancing immune function.
These intestinal bacteria
help prevent pathogenic infections
by inhibiting harmful microbes
from colonizing the colon,
strengthen the tight junctions of
intestinal epithelial cells,
block the penetration of toxins
and pathogens through
the intestinal barrier,
purify the blood, and
contribute to
maintaining healthy skin.
The Development
of Skin Disease
In the colons of psoriasis patients,
beneficial bacteria such as
Bifidobacterium and Lactobacillus
are significantly reduced.
As a result,
the microbial diversity in the colon
is significantly reduced,
while harmful bacteria
such as Clostridium difficile
and Staphylococcus increase.
These harmful bacteria
produce substances such as LPS,
which promote
inflammatory responses
and worsen psoriasis
through the bloodstream.
Detoxification therapy
The detoxification treatment
at HM Clinic improves
the intestinal environment
to promote colon detox,
supports liver detoxification
by enhancing liver function,
purifies the blood by
eliminating blood toxin,
and removes
inflammatory substances
from the skin
to aid in skin detox.
Immune normalization
treatment
HM-V is prescribed by HM clinic team
as a personalized treatment,
tailored 1:1 to the type and
severity of the
patient’s psoriasis symptoms.
Here are some of the
medicinal plants
included in HM-V.
Main ingredient
of HM-V
These medicinal ingredients help
detoxify toxins from the
liver, colon, blood, and skin.
Their powerful
anti-inflammatory effects
help reduce skin inflammation
and support the
treatment of psoriasis.
Use of HGMP-certified
herbal ingredients
All herbal ingredients
used at HM Clinic
are sourced exclusively from
suppliers certified with HGMP,
the Korean Ministry of
Food and Drug Safety’s standard
for Good Manufacturing and
Quality Control Practices
for herbal medicine,
to ensure safe and
reliable treatment.
HM Saengsik
is rich in
a variety of
phytochemicals
First, polyphenols have
strong antioxidant properties,
effectively eliminating
free radicals and
reducing inflammation.
Second, flavonoids help
stabilize skin immunity
through their antioxidant,
antimicrobial, and
immune-modulating effects.
Third, carotenoids,
as precursors of vitamin A,
promote skin cell regeneration
and strengthen the skin barrier.
Fourth, compounds like
chlorophyll support
liver detoxification,
purify the blood,
and enhance
oxygen-carrying capacity.
Thanks to these
active components,
HM-V and HM Saengsik
offer powerful benefits
such as intestinal
and liver detoxification,
blood purification, skin detox,
promotion of skin regeneration,
and strong antibacterial and
anti-inflammatory effects.
HM Clinic
Integrated Therapy
Phototherapy
By amplifying
308nm UVB energy
and directly irradiating
the affected area,
this treatment safely and painlessly
addresses autoimmune and
inflammatory skin diseases.
Acupuncture
Acupuncture on key acupoints
helps improve
the digestive functions
of the stomach and colon,
enhances the liver's
detoxification capacity,
and supports the normalization
of the immune system.
Skin-V
Skin-V, extracted from
17 medicinal plants
known to be effective for psoriasis,
is applied or sprayed
directly onto the
affected skin
to support treatment.
High-frequency therapy
Many psoriasis
patients tend to have a
low core body temperature.
When core temperature drops,
blood flow to the
intestinal mucosa decreases,
making the lining more
vulnerable to damage and
slower to regenerate.
This can lead to
leaky colon syndrome,
which may worsen
psoriasis symptoms.
Core Body Temperature
and Skin Diseases
Before and After
High-frequency therapy
HM Clinic Data Room
Click through to the questions
patients frequently ask!
Real treatment story
Please log in to access
detailed information
about your treatment process.
Ultimately, the key to treatment
lies in the medical team —
and we will begin by
transforming ourselves.
At HM Clinic,
the directors of each branch
collaborate with
ellow directors nationwide
by sharing and discussing
treatment cases,
ensuring that each patient
receives the most appropriate care.
Korean medicine
is science —
the result of ongoing,
relentless research.
HM Clinic published
a case study in an
international journal
involving a patient
who had not responded to
long-term treatment.
We continue to provide evidence-
based care by publishing
numerous clinical
case studies on treatment.
The medical team at HM Clinic
is tirelessly working to develop
better treatment methods
by integrating the strengths of
traditional Korean medicine
and modern medicine.
They actively publish
SCI-level research
in international journals
and participate in a wide range of
academic activities.
A medical team dedicated to
continuous research for better and
more effective treatments.